入れ歯症例
症例 入れ歯による審美
| 治療前 | 治療後 |
|---|---|
![]() |
![]() |
施術内容:右下1 左下1 4 5 6 7欠損部に対して右下5 4 左下3 をアタッチメントとしたコーヌステレスコープ義歯で修復
費用:60万円
期間:4か月
治療のリスク:状態によっては施術できないこともあります。場合によっては腫れや痛みが発生することがあります。
コーヌス義歯症例
コーヌス義歯症例 その1
| 治療前 | 治療中その1 |
|---|---|
![]() |
![]() |
| 治療中その2 | 治療後 |
![]() |
![]() |
縁下カリエスにより、通常では抜歯になってしまう症例です。このままでは歯の土台を立てることができないため歯ぐきを下げる手術を行いました。ファイバーコアを立て、コーヌス義歯により治療しました。
施術内容:右上4 3 2 左上1 2 に対してAPF(歯肉弁根尖側移動術)、同部位にファイバーコア築造の上コーヌステレスコープ義歯にて修復
費用:102万円
期間:6か月
治療のリスク:状態によっては施術できないこともあります。場合によっては腫れや痛みが発生することがあります。
コーヌス義歯症例 その2
| 治療前 | 治療中その1 |
|---|---|
![]() |
![]() |
| 治療中その2 | 治療後 |
![]() |
![]() |
歯周病が進行していて、残念ながら抜歯となってしまった症例です。入れ歯の土台となる部分を付け、治療しました。非常に安定しており、患者さんにもご満足いただきました。下顎は保険の入れ歯です。
施術内容:上顎欠損部に対して左上3 4 5 をアタッチメントとしたコーヌステレスコープ義歯で修復
費用:60万円
期間:10か月
治療のリスク:状態によっては施術できないこともあります。場合によっては腫れや痛みが発生することがあります。
コーヌス義歯症例 その3
| 治療前 | 治療後 |
|---|---|
![]() |
![]() |
| 治療前 | 治療後 |
![]() |
![]() |
| 治療前 | 治療後 |
![]() |
![]() |
上顎:右上6 5 4の磁性アタッチメントを利用してマグネットエンチャーにて修復
下額:左下3 2 マグネット 右下1 2 3 コーヌス支台 をしてコーヌスマグネットデンチャーで修復
費用:上顎54万円 下額76万円
期間:10か月
治療のリスク:状態によっては施術できないこともあります。場合によっては腫れや痛みが発生することがあります。
ミリングデンチャー症例
| 治療前 | 治療後 |
|---|---|
![]() |
![]() |
| 治療前 | 治療後 |
![]() |
![]() |
| 治療前 | 治療後 |
![]() |
![]() |
| 治療前 | 治療後 |
![]() |
![]() |
施術内容:右上4 5 6 7 欠損に対してミリングデンチャーで修復
費用:50万円
期間:6か月
治療のリスク:状態によっては施術できないこともあります。
入れ歯による審美症例
| 治療前 | 治療後 |
|---|---|
![]() |
![]() |
| 作製した入れ歯 | |
![]() |
![]() |
施術内容:上顎欠損部に対してスマイルデンチャーにて修復
費用:17万円
期間:1か月
治療のリスク:状態によっては施術できないこともあります。
総義歯症例
総義歯症例 その1
| 治療前 | 治療後 |
|---|---|
![]() |
![]() |
| 作製した入れ歯 | |
![]() |
![]() |
施術内容:上顎に対して、金属床による総義歯で修復
費用:28万円
期間:1か月半
治療のリスク:状態によっては施術できないこともあります。
保険の総義歯の症例
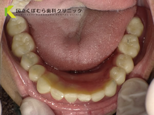
治療前
治療前に撮影した写真です。
お顔の正中線に対して、咬みあわせが歪んでしまっているのがわかります。
治療後
治療後に撮影した写真です。
治療前に比べて、咬みあわせが改善されているのがわかります。















































